Actual cases treated by Dr. Mortensen

Case #1: Excess Overjet / Overbite & Crowding

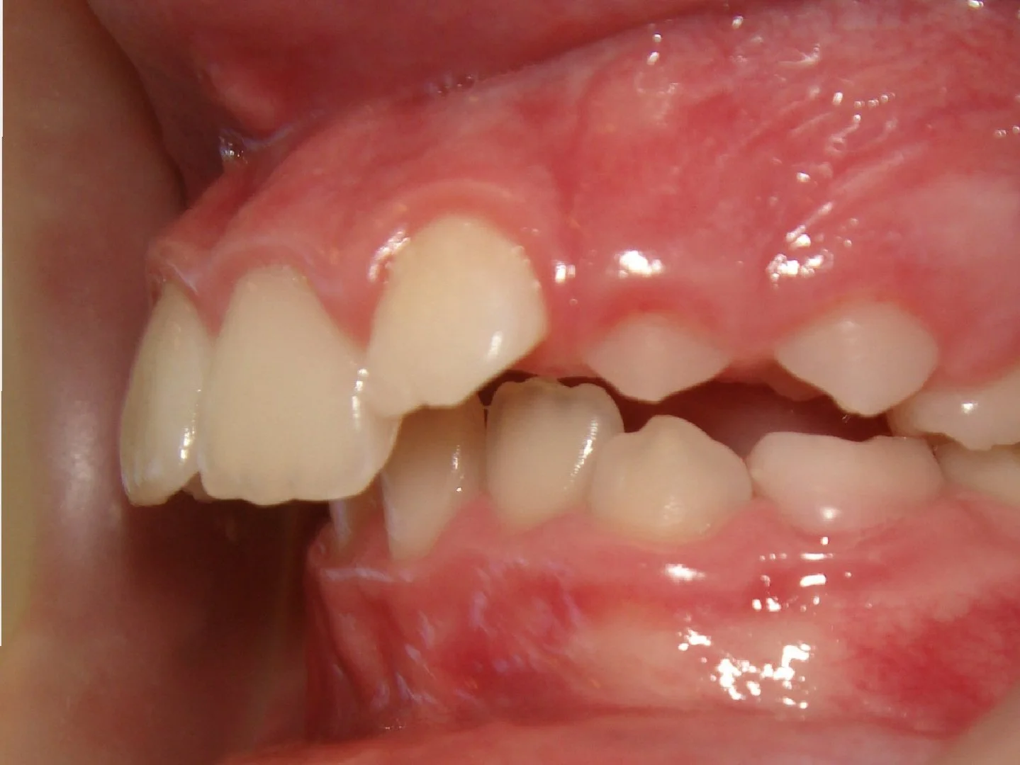
Close-up of a person's mouth with misaligned teeth, overbite and gums.

Before

Close-up of misaligned and flared front and side teeth in a person's mouth.
Close-up of a person's mouth showing crowded, misaligned and flared teeth.
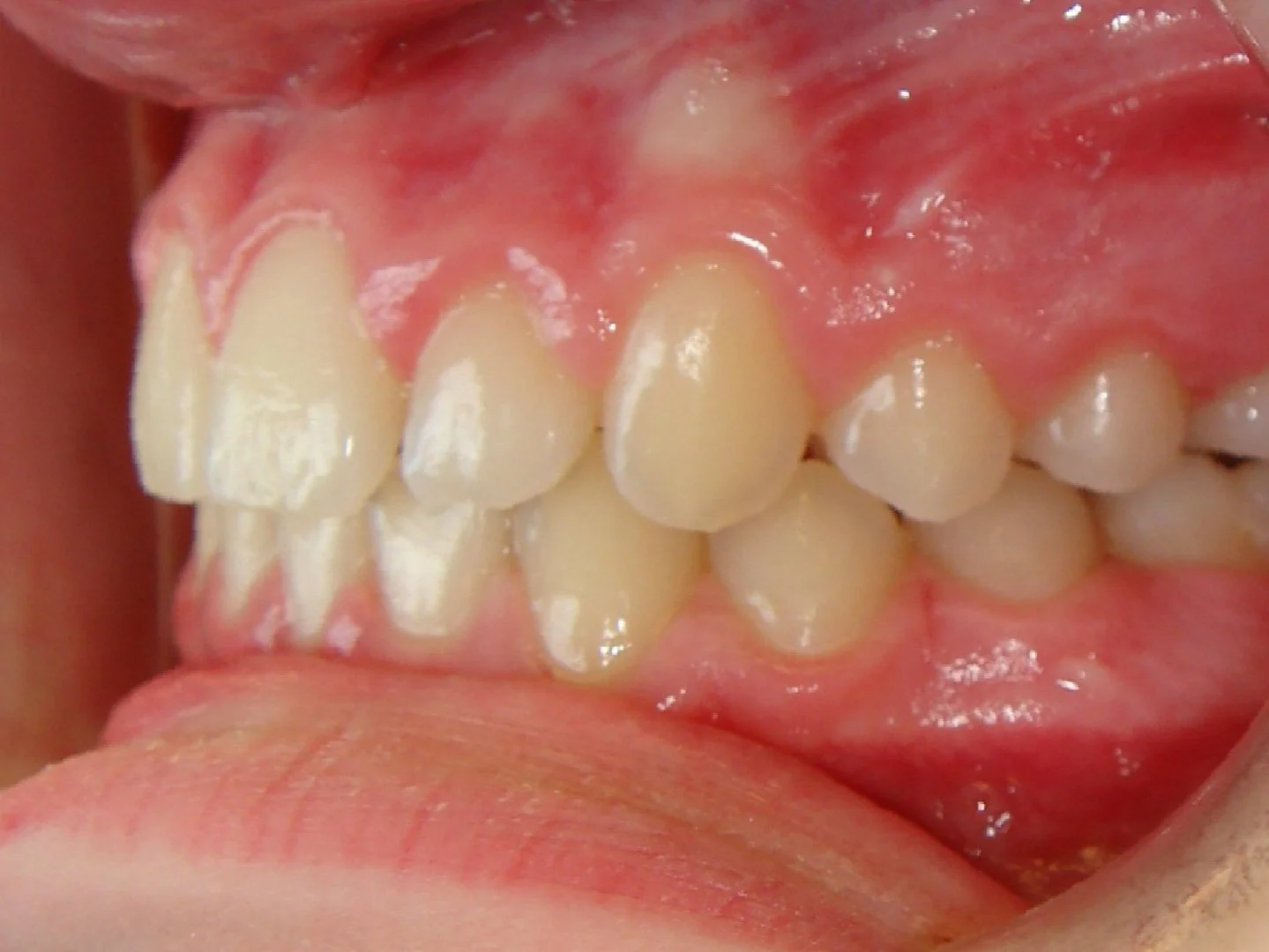
Close-up of a person's bite showing upper and lower teeth in perfect alignment.

After

Close-up frontal view  of upper and lower straight teeth with ideal alignment.
Close-up side view of human teeth and gums showing ideal alignment and occlusion.
  • Chief Concern

    “The top teeth stick out too far”.

    This 10 year old girl had crowding of her upper and lower teeth, and an extreme overjet and overbite. Her case was treated over 2 years with braces and elastics.

Case #2: Adult Underbite

Close-up lateral view of a person's mouth and bite showing upper and lower teeth and gums.  The bite is a severe underbite.  There are separators placed on the lower teeth.

Before: Severe Underbite

Close-up frontal view of a person's bite showing an underbite and excessive mandibular growth.
Close-up of a person's mouth showing an underbite occlusion and orthodontic spacers on the lower molars.
Lateral cephalometric (ceph) X-ray image of a human skull showing facial bones, teeth, nasal cavity, and cervical vertebrae in side view. The bones show fixation plates from jaw surgery and the facial profile is ideal.

After: Perfect Profile

Close-up of a person's teeth showing upper and lower teeth with an ideal overbite an overjet and healthy gums.

After: Perfect Bite

Close-up of a person's mouth showing straight upper and lower teeth with an ideal Class I bite.
  • Chief Concern

    “I want to fix my underbite. I need it done in under a year if possible!”

    Considering that the average case of non-surgical braces takes about 2 years, this was a significant task! However, we finished in 12 months with beautiful results. Her treatment included full braces combined with orthognathic (jaw) surgery.

Case #3: Phase I, Impacted Canines

Panoramic X-ray image of a person's teeth showing orthodontic braces and impacted canines.

Start

Panoramic X-ray image of a person's teeth and jaws impacted canines that have been surgically exposed with chains attached.

Progress

Panoramic X-ray image of a person's skull showing teeth, jaw, and nasal cavity.

Finish

  • Chief Concern

    Patient was referred by her pediatric dentist for evaluation of upper canines.

    Both upper canines were significantly impacted and risked damaging the permanent lateral incisors. Braces were placed as part of a Phase I (early) treatment in order to save the lateral incisors and bring the canines into position. Small chains were attached to the canines and they were gently brought into the arch over 18 months.